Orthopädie Und Unfallchirurgie
Neues Verfahren bei Hallux valgus
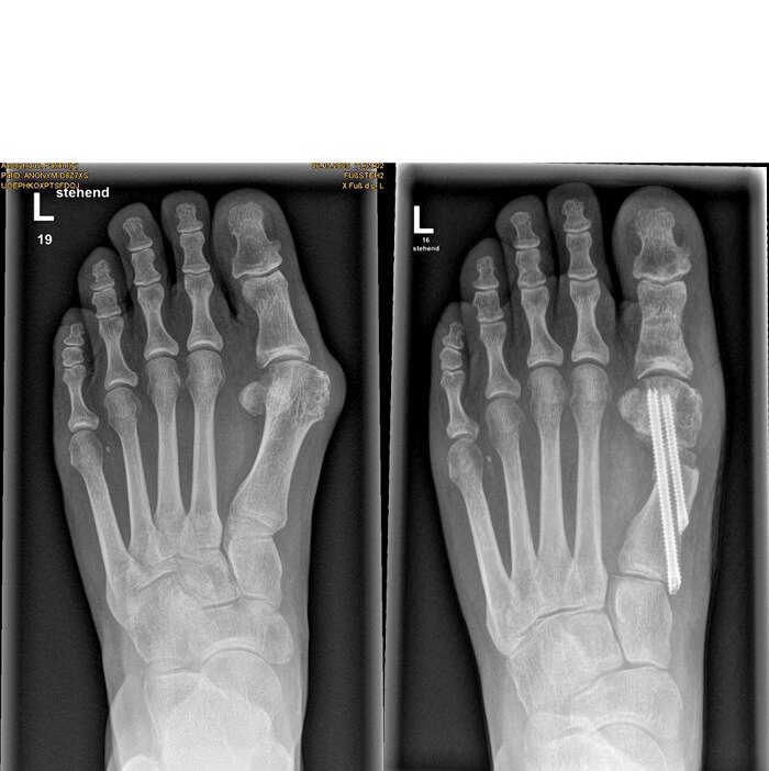
Die minimalinvasive MICA-Methode im Rotes Kreuz Krankenhaus verspricht eine schonende Behandlung und schnellere Genesung für Betroffene.


Hallux valgus1 ist eine Fehlstellung der Großzehe. Drängt das Gelenk des großen Zehs nach außen und schiebt der Mittelfußknochen sich selbst gleichzeitig nach innen, so entsteht das typische Bild der häufigsten Zehenfehlstellung bei Erwachsenen. Rund 10 Millionen Menschen sind in Deutschland betroffen, die Mehrheit davon Frauen. Gründe für die Entstehung sind genetische Veranlagung und ein schwaches Bindegewebe. Weitere Faktoren, die den sogenannten Ballenzeh begünstigen, sind Arthrose, falsches Schuhwerk, jahrelange Überbelastung und Adipositas. Häufig entwickelt sich die Fehlstellung aus einem Spreizfuß: Das Fußgewölbe sinkt ein und das Grundgelenk des großen Zehs schiebt sich aus seiner geraden Achse nach außen.
Bei Ute Pacher aus Ganderkesee ist nur der linke Fuß betroffen. »Die Schmerzen im Schuh wurden mit der Zeit schlimmer. Ich habe schon vor zwei Jahren über eine OP nachgedacht, aber so ein Eingriff und danach wochenlang auf Krücken herumlaufen – das hat mich abgeschreckt«, sagt die 56-Jährige. Als sie sich im Mai 2025 auf Anraten ihres Orthopäden dann doch für eine operative Behandlung im Rotes Kreuz Krankenhaus entscheidet, ist sie positiv überrascht: Chefarzt Dr. Ingo Arnold und Oberarzt Dr. Jakob Mann, beide zertifizierte Fußchirurgen in der Klinik für Orthopädie und Unfallchirurgie, haben eine in Bremen ganz neue minimalinvasive Methode zur Behandlung des Hallux valgus eingeführt.

Es gibt unterschiedliche OP-Methoden zur Behandlung der Fehlstellung – von der Entfernung des Knochenvorsprungs über eine Umstellung des Mittelfußknochens bis hin zu einer Versteifungsoperation. Dr. Mann erklärt die neue Methode: »Mithilfe filigraner Werkzeuge, die wir durch vier millimeterkleine Schnitte einführen, durchtrennen wir den Mittelfußknochen unterhalb des Großzehengelenks. Wir verschieben das Köpfchen zur Mitte und fixieren es mit zwei speziell für dieses Verfahren hergestellten, abgeschrägten Schrauben. Abschließend wird der überstehende Knochen außen entfernt.« All dies geschieht unter Röntgensicht.
Die Vorteile der sogenannten MICA-Methode (Minimalinvasive Chevron-/Akin-Osteotomie): »Man muss das Gelenk nicht öffnen, benötigt keine größeren Hautschnitte und die Rehabilitationszeit ist viel geringer als nach einer herkömmlichen OP. Gleichzeitig gibt es weniger Schmerzen, Narben und Wundheilungsprobleme«, so der Facharzt. Ute Pacher erhält nach der OP zunächst einen Spezialschuh – ihren Fuß darf sie gleich wieder belasten. Sechs Wochen später trägt sie bereits wieder ihre eigenen Schuhe.

Unfallchirurgie
-
Hallux (lat.) = Großzehe; valgus (lat.) = krumm ↩︎
Kontakt
Dr. Jakob Mann
Oberarzt der Klinik für Orthopädie und Unfallchirurgie
D.A.F. zertifizierter Fußchirurg
0421 5599-531
mann.j@roteskreuzkrankenhaus.de
Rotes Kreuz Krankenhaus
St.-Pauli-Deich 24
28199 Bremen
roteskreuzkrankenhaus.de
facebook.com/roteskreuzkrankenhaus
instagram.com/roteskreuzkrankenhaus